Thứ sáu, 02/01/2026 | 05:18
RSS
Thầy dạy lái xe xếp điện thoại của học viên vào vạch kẻ đường để các học viên xót xa mà cẩn thận nhìn trước ngó sau khi lùi xe vào chỗ đậu.
Cư dân mạng hiện đang vô cùng phẫn nộ trước video hành hạ mèo dã man do một người đàn ông Hàn Quốc đăng tải trên Youtube.
Bị ngăn cản chuyện yêu đương, thiếu nữ đã cùng người yêu giết chết mẹ đẻ rồi thiêu xác và chôn sau nhà nhằm phi tang. Tiếp theo đó, cô gái này đi tung tin rằng mẹ mình đã bỏ nhà theo người khác.
Người mẹ đã bác bỏ cáo buộc lừa đảo. Bà ta cho biết gia đình chỉ mới sử dụng một phần nhỏ số tiền ủng hộ chữa bệnh cho con.
Cách tạo dáng ngượng ngùng, tình cảm chân thành của cặp đôi dành cho nhau trong suốt chiều dài cuộc hôn nhân... tất cả những điều đó đã cho ra đời bộ ảnh cưới mang dấu ấn của hạnh phúc.
Bé 4 tuổi bị giáo viên mầm non dội nước sôi đến bỏng toàn thân khiến dư luận phẫn nộ.
Sau khi bị bắt, hắn thừa nhận thói quen xấu này xuất hiện từ khi hắn còn nhỏ, mỗi khi nhìn thấy ngón chân phụ nữ là hắn không thể kiềm chế được bản thân.
Người mẹ hiến giác mạc cho bệnh viện, với niềm tin đôi mắt của bà vẫn còn trên đời để ngắm nhìn gương mặt con trai mất tích 22 năm trở về.
Người đàn ông 38 tuổi còn mang đứa con gái 6 tháng tuổi của mình lên mái nhà, thẳng tay ném xuống đất để đe dọa cảnh sát.
Trong lúc làm việc, các nhân viên của công ty này khỏa thân hoàn toàn. Điều ngạc nhiên là việc làm này lại được dư luận đánh giá cao.
Jonathan Pitre, 17 tuổi, biểu tượng cho nghị lực sống ở Canada vừa qua đời. Cậu mắc căn bệnh hiếm gặp khiến da mỏng manh như cánh bướm và có thể rách bất cứ lúc nào.
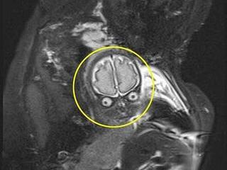
Hình ảnh em bé trong phim chụp cộng hưởng từ có sự giống nhau kì lạ với nhân vật trong bộ phim hoạt hình nổi tiếng: "Cuộc tấn công từ sao Hỏa".
Cô gái muốn thay đổi diện mạo, thực hiện phẫu thuật thay đổi màu mắt từ nâu đỏ sang xám nhạt nhưng lại nhận về kết quả không ngờ.
Dùng chó hoang để thực hành mổ xong, sinh viên Y đem vứt luôn ra vườn dù con vật còn thoi thóp sống.
Xem theo ngày